牙疼不是病,疼起来要人命,这句话真的很有情理,牙上的炎症只管不重大,不会产生什么重大的结果,然而治疗的过程是痛苦又漫长的,而且牙痛的缘由也有很多,牙龈炎就是其中一条,牙龈炎图片很重大,今天小编要为大家讲讲牙龈炎的治疗方法,一同来看看牙龈炎图片吧
牙龈炎
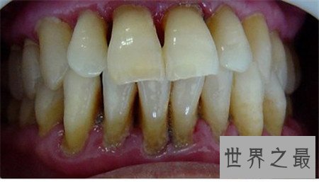
上图为牙龈炎图片
牙龈炎:牙龈炎和牙周炎同属于牙周病领域,牙龈炎病变发生在牙龈组织,次要缘由是口腔不洁、菌斑与牙垢、牙结石、食物嵌塞、不良修复体等部分剌激,某些全身要素如内分泌紊乱、维生素C缺乏、营养阻碍与系统疾病也可惹起或加重牙龈炎
牙龈是牙周组织(牙龈、牙周膜、牙槽骨、牙骨质)之一,间接裸露于口腔中,直视可见,它是由角化上皮和结缔组织组成,笼罩着牙槽骨和牙根。牙龈病是局限于牙龈组织的病变,其中最为常见的是慢性龈缘炎,又称边缘性龈炎、单纯性龈炎,属于“仅与牙菌斑无关的牙龈炎”,是菌斑性牙龈炎中最常见的疾病。牙龈的炎症次要位于游离龈和龈乳头。也就是大家常说的牙龈炎。3~5岁的儿童即可发生,患病率和重大水平随年龄增长而逐步添加,至青春期达高峰。牙龈炎在儿童中男性略多于女性。发展中国家和地区高于经济发达国家。
牙龈炎病因
上图为牙龈炎图片
1、牙菌斑。牙菌斑是惹起牙龈炎的最初缘由,它是粘附在牙面的未矿化的细菌性堆积物。然而每集体口腔里都存在着菌斑,但不是每集体都会发展为亚牙龈炎或牙周炎,还有一些间接或直接的要素促进牙龈炎的构成。
2、牙石。日常进食时,在咱们咀嚼中,因为机械刺激,牙石上的菌斑与牙龈密切接触,引发牙龈发炎。
3、食物嵌塞。这是导致部分牙周组织破坏的最常见的病因。年轻人是由于牙齿陈列不齐,老年人是因为老年性的牙龈萎缩,进食后食物嵌塞在牙龈与牙齿之间,有没有及时地去除洁净,这容易惹起牙龈肿胀、牙龈萎缩、邻面龋及口臭等口腔成绩。
4、敏感期。早期青春期、月经期或妊娠期,所致体内分泌激素的变化,会扭转牙周组织对病源性刺激要素的反应性,从而加重牙龈的炎症变化,普通在以上三个期间,都很容易发生牙龈炎。
牙龈的发展过程
上图为牙龈炎图片
轻度的慢性单纯性牙龈炎所侵犯的是游高龈和龈乳头,重大者可侵犯附着龈、前牙区,尤以下颌前牙炎症显著。咬水果或刷牙时,牙龈出血。瘦弱的牙龈即使使劲刷牙,不会发生出血。
失常的游离龈是很薄且紧贴牙面,牙龈炎的病理症状:龈缘充血发红、肿胀、坚实,龈缘变厚,牙间乳头变为钝圆,与牙面不紧贴,而且龈沟加深,重大者附着龈可因组织水肿,点彩隐没,外表光亮,龈缘可有腐败或肉芽增生,龈袋溢脓。
龈炎进一步发展,牙龈大量毛细血管增生扩张、高度充血,大量炎症细胞和组织液渗出,导致牙龈瘦小,可笼罩局部牙冠,此时牙龈呈深红或暗红,探诊极易出血。病程较长者,可导致牙龈纤维增殖,牙龈增生突起,此时牙龈色彩轻度发红或靠近失常,质地较硬,出血较少。牙龈炎的病理于只侵犯牙龈,不侵犯其余牙周组织,所以牙齿不发生松动,X光片反省牙槽骨、牙周膜、牙骨质无同样。
牙龈症状
1、从牙龈炎图片看,牙龈炎患者伴有牙龈水肿症状,患牙龈炎时,因为组织水肿,使龈缘变厚,不再紧贴牙面,龈乳头变为圆钝瘦小,附着龈水肿时,点彩也可隐没,外表润滑发亮。
2、从牙龈炎图片看,牙龈炎患者牙龈色彩有显著变化,失常牙龈呈粉红色,患龈缘炎时游离龈和龈乳头变为深红或暗红色,这是因为牙龈结缔组织内血管充血、增生所致。
3、从牙龈炎图片看,牙龈炎患者多出现探诊出血,瘦弱的牙龈在刷牙或探测龈沟时均不惹起出血。患牙龈炎时轻触即出血,探诊也出血。探诊后出血是诊断牙龈有无炎症的重要主观目的
预防牙龈炎
1、给牙齿补钙。牙骨蓬松容易导致牙龈炎,可能多吃含有钙质的食物,来强化骨骼。
2、肃清牙石。应该定期去牙医处洗牙,以肃清牙石,预防牙龈炎。
3、利用软毛牙刷。用软毛牙刷刷牙龈及舌头,对牙龈很无益处
4、戒烟、戒酒。烟和酒会散失保持口腔瘦弱所需的维生素及矿物质,要想有瘦弱的牙齿,必须戒烟和酒。
5、进食后漱口。进食后肯定要漱口,可能协助你肃清食物残渣,对牙齿瘦弱很有协助。

6、多吃生蔬菜。生蔬菜含有很多纤维素,能协助清洁及刺激牙齿及牙龈,以避免牙龈炎。
7、轮番利用两只牙刷。轮番利用两支牙刷的益处在于可能使另一只要工夫齐全风干,从而缩小细菌繁殖的几率,这对牙齿的瘦弱十分重要。
8、刷牙龈边缘。刷牙时不要疏忽容易沉积牙垢的牙龈边缘,将牙刷歪斜45度角,由内向外刷,如此可预防牙龈发炎。
治疗
牙龈炎的治疗1
