牙齿对于人们来说是十分重要的一局部,从长出牙齿到最后全副划一,整个过程是每集体都需求教训的,那么人有多少颗牙齿?怎么的牙齿属于不失常的牙齿呢?今天带大家深化了解一下。
人有多少颗牙齿?失常起码保持20颗以上1、乳牙20颗,成人32颗

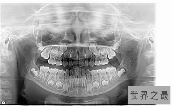
孩子是20颗牙齿,也就是说乳牙是20颗,而成年人是32颗。然而中国人有很多是没有最后四颗的,而这四颗是成年后长大的,也叫智齿。有的人不能长出,所以成年人的牙齿可能从28到32颗,但假设你拍摄X光片,你就可能看到它们。失常成年人只需没有被移除就会有32颗牙齿。
2、28颗为恒牙,4颗为智齿

失常人通常有28-32颗牙齿,其中28颗是恒牙,4颗是智齿。当然,有些人没有智齿,有些人会有4颗智齿。这些都很失常,实践上有28颗牙齿起作用,当牙齿零落一两个时,它不会影响整个身材的瘦弱。但是,当牙齿逐渐零落并且小于20时,它将影响身材的多个系统性能。
3、零落的牙齿该当及时批改

此时,假设及时修复失落的牙齿,并且在口腔内保留20多个性能性牙齿,则人的老化速度将减慢,这无利于延伸人的寿命。这是由于人的牙齿不到20颗,食物不能齐全咀嚼,影响消化性能,发音会遭到不良影响,而且外观会显得苍老,这会对人的心思产生负面影响。
4、少于20颗牙影响平衡

此外,牙齿也是体内重要的平衡器官。人类的许多身材流动和集中的脑力休息需求牙齿咬合来婚配。人有多少颗牙齿属于失常呢?当牙齿少于20个时,人的平衡性能会遭到影响,并且容易出现流动谬误、摔倒等等。
8种牙齿肯定要拔掉,留着影响身材瘦弱1、重大蛀牙无奈存留的残冠残根

有出现蛀牙就需求尽早停止补牙,假设没有及时停止补牙治疗,放任蛀牙持续发展,很能够需求停止根管治疗并戴上烤瓷冠能力有效修复。没有保留价值的残根、残冠,它们易导致重复发炎疼痛,破坏牙床,医生会建议尽早拔除,然后再镶牙。
2、牙周炎导致的松动牙


因为长期的慢性炎症,导致了牙齿周围存在大量的炎性肉芽组织,这些炎性肉芽组织会跟着牙齿一同零落,这样不利于伤口的愈合。人有多少颗牙齿都会遭到影响的,而且牙周炎会使得牙槽骨被逐渐排汇,会使得周边的牙齿遭到影响,从而形成牙槽骨的高度升高、厚度变薄,最后连做种植牙的能够性都没有了。
3、阻生牙

阻生牙是常常遇见的情况,顺便是智齿很容易出现阻生牙的情况,阻生牙会导致邻牙的牙根排汇、邻牙蛀牙、邻牙牙周炎、牙列拥堵和冠周炎等,给口腔的瘦弱形成极为不利的影响,因此需求尽早停止拔除。
4、滞留的乳牙

有些小孩子在换牙期的时分恒牙已经萌出了,能够乳牙却不断保留在口腔内,这种情况就叫做乳牙滞留,乳牙滞留会将本来恒牙要萌出的地位被占领,这样容易使得恒牙错位萌出,惹起牙齿拥堵、错位等成绩。
5、多生牙

有些宝宝会出现牙齿中间出现多余的牙齿萌出,这样的多余牙会形成牙齿拥堵,因此,需求尽早停止拔除。
6、影响美观和性能的错位牙

牙齿咬合同样者,可经过拔牙正畸治疗调理上下牙的咬合关系。拔牙间隙调整后牙咬合关系,使得后牙尖窝交错,咬合接触面积最大,达到最佳的咀嚼效率。
7、牙齿矫正时需求拔除的牙齿

