牙疼不是病,疼起来要人命,这句话真的很有道理,牙上的炎症虽然不严重,不会产生什么严重的后果,但是治疗的过程是痛苦又漫长的,而且牙痛的原因也有很多,牙龈炎就是其中一条,牙龈炎图片很严重,今天小编要为大家讲讲牙龈炎的治疗方法,一起来看看牙龈炎图片吧
牙龈炎
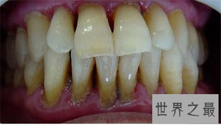
上图为牙龈炎图片
牙龈炎:牙龈炎和牙周炎同属于牙周病范畴,牙龈炎病变发生在牙龈组织,主要原因是口腔不洁、菌斑与牙垢、牙结石、食物嵌塞、不良修复体等局部剌激,某些全身因素如内分泌紊乱、维生素C缺乏、营养障碍与系统疾病也可引起或加重牙龈炎
牙龈是牙周组织(牙龈、牙周膜、牙槽骨、牙骨质)之一,直接暴露于口腔中,直视可见,它是由角化上皮和结缔组织组成,覆盖着牙槽骨和牙根。牙龈病是局限于牙龈组织的病变,其中最为常见的是慢性龈缘炎,又称边缘性龈炎、单纯性龈炎,属于“仅与牙菌斑有关的牙龈炎”,是菌斑性牙龈炎中最常见的疾病。牙龈的炎症主要位于游离龈和龈乳头。也就是大家常说的牙龈炎。3~5岁的儿童即可发生,患病率和严重程度随年龄增长而逐步增加,至青春期达高峰。牙龈炎在儿童中男性略多于女性。发展中国家和地区高于经济发达国家。
牙龈炎病因
上图为牙龈炎图片
1、牙菌斑。牙菌斑是引起牙龈炎的最初原因,它是粘附在牙面的未矿化的细菌性沉积物。但是每个人口腔里都存在着菌斑,但不是每个人都会发展为亚牙龈炎或牙周炎,还有一些直接或间接的因素促进牙龈炎的形成。
2、牙石。日常进食时,在我们咀嚼中,由于机械刺激,牙石上的菌斑与牙龈密切接触,引发牙龈发炎。
3、食物嵌塞。这是导致局部牙周组织破坏的最常见的病因。年轻人是因为牙齿排列不齐,老年人是由于老年性的牙龈萎缩,进食后食物嵌塞在牙龈与牙齿之间,有没有及时地去除干净,这容易引起牙龈肿胀、牙龈萎缩、邻面龋及口臭等口腔问题。
4、敏感期。早期青春期、月经期或妊娠期,所致体内分泌激素的变化,会改变牙周组织对病源性刺激因素的反应性,从而加重牙龈的炎症变化,一般在以上三个时期,都很容易发生牙龈炎。
牙龈的发展过程
上图为牙龈炎图片
轻度的慢性单纯性牙龈炎所侵犯的是游高龈和龈乳头,严重者可侵犯附着龈、前牙区,尤以下颌前牙炎症明显。咬水果或刷牙时,牙龈出血。健康的牙龈即使用力刷牙,不会发生出血。
正常的游离龈是很薄且紧贴牙面,牙龈炎的病理症状:龈缘充血发红、肿胀、松软,龈缘变厚,牙间乳头变为钝圆,与牙面不紧贴,而且龈沟加深,严重者附着龈可因组织水肿,点彩消失,表面光亮,龈缘可有糜烂或肉芽增生,龈袋溢脓。
龈炎进一步发展,牙龈大量毛细血管增生扩张、高度充血,大量炎症细胞和组织液渗出,导致牙龈肥大,可覆盖部分牙冠,此时牙龈呈深红或暗红,探诊极易出血。病程较长者,可导致牙龈纤维增殖,牙龈增生突起,此时牙龈颜色轻度发红或接近正常,质地较硬,出血较少。牙龈炎的病理于只侵犯牙龈,不侵犯其他牙周组织,所以牙齿不发生松动,X光片检查牙槽骨、牙周膜、牙骨质无异常。
