相信大家在生活中或者是学生时代,基本上都学过英语。毕竟英语是通用的语言,所以说学会英语是非常重要的一件事情。学会英语很重要的就是要多了解一些单词。那么今天就让我们来看看最长的英文单词是什么样子的吧。,
英语单词
可以说学习英语很重要的一点就是要学会单词。除了最长的英语单词以外,其实还有非常多的单词需要我们去学习。我们在不同的阶段有着不同的词汇量,要了解和掌握。学习单词就像是建造一间房子要准备砖一样,重要性可想而知。

平常如果我们掌握了足够多的英语单词,那么我们就可以看懂一篇文章。看懂文章是非常重要的,想象一下一片文章,你有很多单词不认识,那么你就根本无法了解他的大意,所以说你就会感到很茫然,会对学习英语丧失兴趣。

从这一点可以看出来,英语单词在英语学习中占据了很重要的位置,所以说平常学习英语的时候要注意积累单词量,这样才能够让我们学习英语要顺利很多。但是有一些单词实在是太长了,让我们不想学。比如说最长的英文单词。
这个单词的介绍
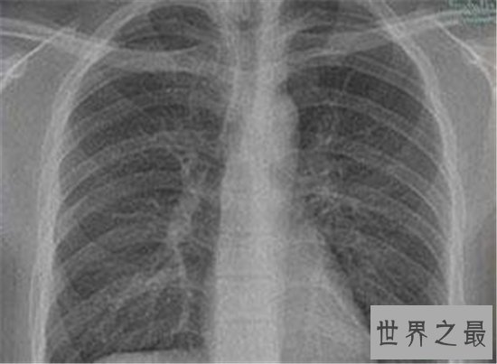
最长的英文单词,中文翻译过来名字是肺尘病。如果感兴趣的话可以去看看这个英语单词是什么样子的。而且这个单词一共有44个字母。我们平常普通生活中一个单词顶多也就十几个字母。这一个单词就直接顶了四个单词。

肺尘病其实是一种在我们生活中比较常见的疾病。主要原因就是因为吸入了大量的粉尘,对肺部造成了危害。经常咳嗽一类的。这类疾病其实非常严重,所以说如果万一有了这样的症状,一定要去看。千万不要耽误或不想去。

之所以能成为最长的英文单词,是因为当时对于这个单词的介绍,其实是有很多单词进行拼凑而成的。因为要定义这个单词,所以说要有很多介绍。而这些介绍的单词都非常的长。经过拼凑而成,所以说这个单词就有如此之长。
单词的背诵
其实这个单词在我们平常生活中比较难遇到。而且如果你知道了最长的英文单词大约有多少个,如果在考试或者平常生活中遇到这个单词,那么你就能迅速认出来他。毕竟它的长度实在是别的单词所不能达到的高度啊,还是很容易的。

英语是我们生活中比较常用到的语言。英语中也有许多非常有意思的事情,比如比如说今天这个单词。所以说如果感兴趣的话,要加深对英语的学习。这样你就能够了解更多有意思的知识。好啦,今天的盘点机到这里了,下次再见啦。
